Telefon:
+49 (0)241 95 163 153
Fax:
+49 (0)241 95 163 155
E-Mail:
orders@antikoerper-online.de

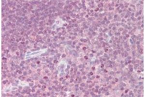
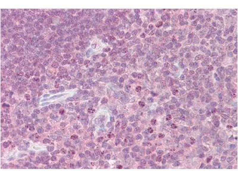
CRLF2 Antikörper

Der Maus Monoklonal anti-CRLF2 Antikörper wird verwendet zum Nachweis von CRLF2 in Proben von Human. Er wurde validiert für WB, IHC (p) und EIA.
Produktnummer ABIN1106837
913,85 €
Zzgl. Versandkosten 20,00 € und MwSt
0.1 mg
Lieferung nach: Deutschland
Lieferung in 16 Werktagen

Kurzübersicht für CRLF2 Antikörper (ABIN1106837)

Target

Alle CRLF2 Antikörper anzeigen
CRLF2 (Cytokine Receptor-Like Factor 2 (CRLF2))

Reaktivität

  • 50
  • 27
  • 20
Human

Wirt

  • 52
  • 20
  • 3
  • 1
Maus

Klonalität

  • 55
  • 21
Monoklonal

Konjugat

  • 28
  • 4
  • 3
  • 2
  • 2
  • 2
  • 2
  • 2
  • 2
  • 2
  • 2
  • 2
  • 2
  • 2
  • 2
  • 2
  • 2
  • 2
  • 2
  • 1
  • 1
  • 1
  • 1
  • 1
  • 1
  • 1
  • 1
  • 1
Dieser CRLF2 Antikörper ist unkonjugiert

Applikation

  • 40
  • 27
  • 26
  • 18
  • 12
  • 8
  • 7
  • 6
  • 5
  • 3
  • 1
  • 1
  • 1
  • 1
  • 1
  • 1
  • 1
  • 1
Western Blotting (WB), Immunohistochemistry (Paraffin-embedded Sections) (IHC (p)), Enzyme Immunoassay (EIA)

Klon

8H8
Sie sind hier:
Chat with us!