PDIA3 Antikörper
Kurzübersicht für PDIA3 Antikörper (ABIN1103540)
Target
Alle PDIA3 Antikörper anzeigenReaktivität
Wirt
Klonalität
Konjugat
Applikation
Klon
-
-
Spezifität
- Detects ~57 kD protein.
-
Aufreinigung
- Protein G purified from tissue culture supernatant
-
Immunogen
-
Human Recombinant Erp57 (Grp58).
Type of Immunogen: Recombinant protein -
Isotyp
- IgG1
-
-
-
-
Applikationshinweise
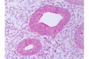
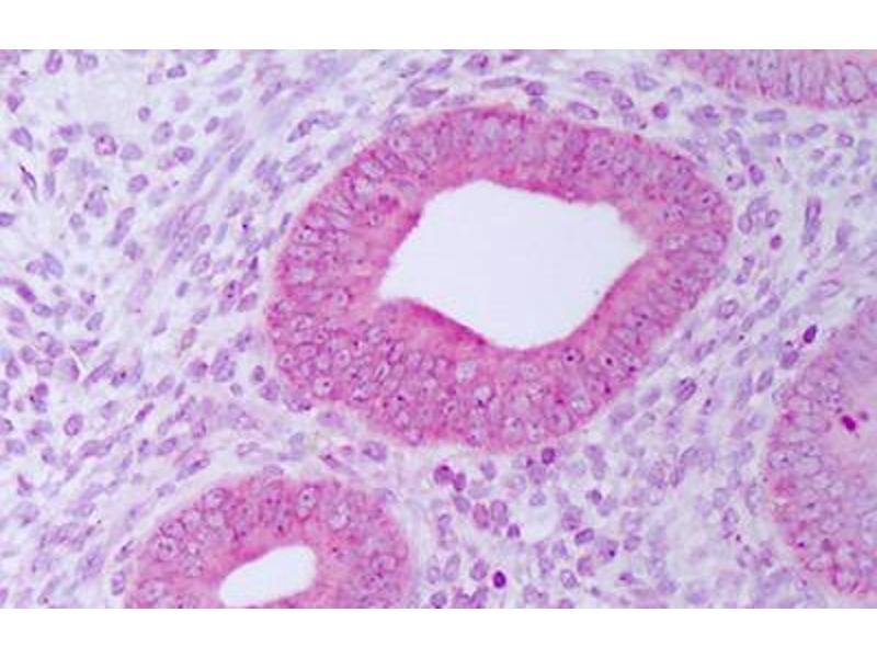
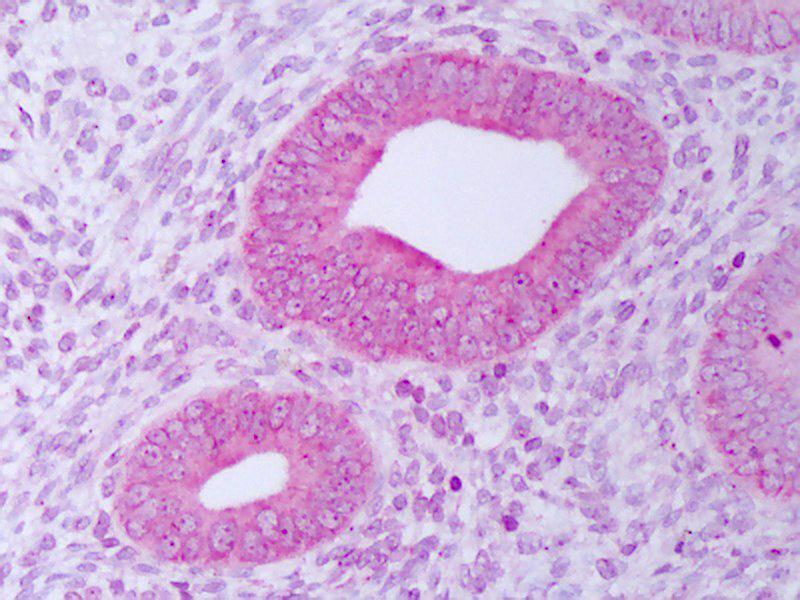
- Approved: IHC, IHC-P (15 μg/mL), IP, WB (1:20000)
-
Kommentare
-
Target Species of Antibody: Human
-
Beschränkungen
- Nur für Forschungszwecke einsetzbar
-
-
-
Format
- Liquid
-
Konzentration
- Lot specific
-
Buffer
- PBS, pH 7.4, 0.09 % sodium azide, 50 % glycerol. Sourced in Ascites.
-
Konservierungsmittel
- Sodium azide
-
Vorsichtsmaßnahmen
- This product contains Sodium azide: a POISONOUS AND HAZARDOUS SUBSTANCE which should be handled by trained staff only.
-
Handhabung
- avoid freeze thaw cycles.
-
Lagerung
- 4 °C,-20 °C
-
Informationen zur Lagerung
- Short term 4°C, long term aliquot and store at -20°C, avoid freeze-thaw cycles.
-
-
- PDIA3 (Protein Disulfide Isomerase Family A, Member 3 (PDIA3))
-
Andere Bezeichnung
- PDIA3 / ERp57
-
Hintergrund
-
Name/Gene ID: PDIA3
Synonyms: PDIA3, 58 kDa microsomal protein, ER protein 57, ERp60, ERp61, Disulfide isomerase ER-60, Endoplasmic reticulum P58, GRP58, HsT17083, p58, Phospholipase C-alpha, PI-PLC, ER protein 60, ER60, ERp57, GRP57, Protein disulfide-isomerase A3 -
Gen-ID
- 2923
-
UniProt
- P30101
-
Pathways
- Maintenance of Protein Location, Protein targeting to Nucleus, Cell RedoxHomeostasis
Target
-