Telefon:
+49 (0)241 95 163 153
Fax:
+49 (0)241 95 163 155
E-Mail:
orders@antikoerper-online.de

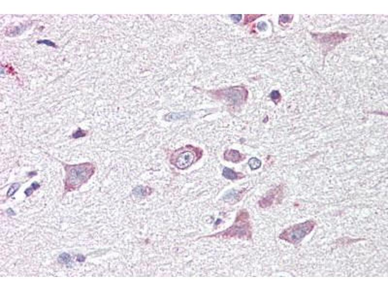
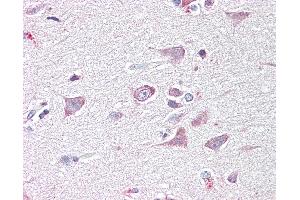
GOLGA6A Antikörper (AA 536-547)

Der Ziege Polyklonal anti-GOLGA6A Antikörper (ABIN1101819) detektiert spezifisch GOLGA6A in ELISA, IHC und IHC (p). Dieser Antikörper reagiert spezifisch mit Proben aus Human.
Produktnummer ABIN1101819
512,07 €
Zzgl. Versandkosten 20,00 € und MwSt
50 μg
Lieferung nach: Deutschland
Lieferung in 15 bis 20 Werktagen

Kurzübersicht für GOLGA6A Antikörper (AA 536-547) (ABIN1101819)

Target

Alle GOLGA6A Antikörper anzeigen
GOLGA6A (Golgin A6 Family, Member A (GOLGA6A))

Reaktivität

  • 20
  • 15
Human

Wirt

  • 33
  • 1
  • 1
Ziege

Klonalität

  • 34
  • 1
Polyklonal

Konjugat

  • 9
  • 3
  • 2
  • 2
  • 1
  • 1
  • 1
  • 1
  • 1
  • 1
  • 1
  • 1
  • 1
  • 1
  • 1
  • 1
  • 1
  • 1
  • 1
  • 1
  • 1
  • 1
  • 1
Dieser GOLGA6A Antikörper ist unkonjugiert

Applikation

  • 26
  • 13
  • 13
  • 13
  • 3
  • 3
  • 1
  • 1
ELISA, Immunohistochemistry (IHC), Immunohistochemistry (Paraffin-embedded Sections) (IHC (p))
  • Bindungsspezifität

    • 15
    • 8
    • 2
    • 1
    • 1
    • 1
    AA 536-547

    Spezifität

    Human GOLGA6A / GOLGA6. GeneID 55889 may be a pseudogene, while GeneID 342096 is thought to encode a functional protein.

    Homologie

    Percent identity by BLAST analysis: Human, Gorilla (100%) Gibbon (92%).

    Aufreinigung

    Immunoaffinity purified

    Immunogen

    Synthetic peptide C-DLPKEKADGTEQ from an internal region of human GOLGA6A / GOLGA6 (NP_061122.4, NP_001033729.1). Percent identity by BLAST analysis: Human, Gorilla (100%), Gibbon (92%).

    Type of Immunogen: Synthetic peptide
  • Applikationshinweise

    Approved: IHC, IHC-P (3.75 μg/mL), Peptide-ELISA (1:1000)

    Kommentare

    Target Species of Antibody: Human

    Beschränkungen

    Nur für Forschungszwecke einsetzbar
  • Format

    Liquid

    Konzentration

    Lot specific

    Buffer

    Tris-buffered saline,  pH 7.3, 0.5 % BSA, 0.02 % sodium azide

    Konservierungsmittel

    Sodium azide

    Vorsichtsmaßnahmen

    This product contains Sodium azide: a POISONOUS AND HAZARDOUS SUBSTANCE which should be handled by trained staff only.

    Handhabung

    Minimize freezing and thawing.

    Lagerung

    -20 °C

    Informationen zur Lagerung

    Store at -20°C. Avoid freeze-thaw cycles.
  • Target

    GOLGA6A (Golgin A6 Family, Member A (GOLGA6A))

    Andere Bezeichnung

    GOLGA6A

    Hintergrund

    Name/Gene ID: GOLGA6A

    Synonyms: GOLGA6A, GLP, Golgin linked to PML, Golgin subfamily A member 6A, Golgin-like protein, GOLGA6, Golgin A6 family, member A

    Gen-ID

    342096

    NCBI Accession

    NP_061122, NP_001033729

    UniProt

    Q9NYA3
Sie sind hier:
Chat with us!