Telefon:
+49 (0)241 95 163 153
Fax:
+49 (0)241 95 163 155
E-Mail:
orders@antikoerper-online.de

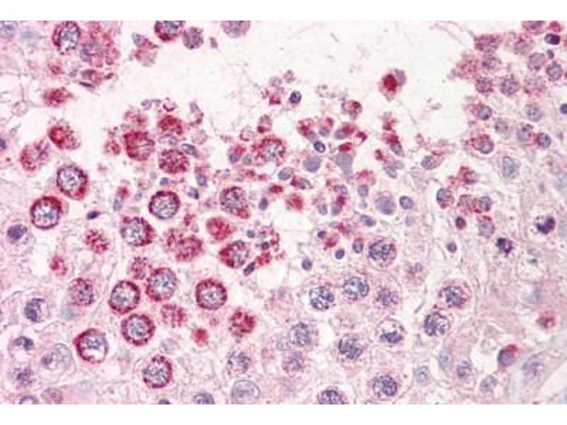
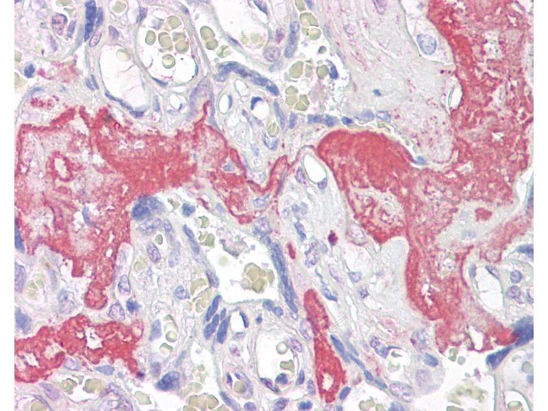
XAGE1D Antikörper (AA 58-69)

Der Ziege Polyklonal anti-XAGE1D Antikörper (ABIN1101660) detektiert spezifisch XAGE1D in ELISA, IHC und IHC (p). Dieser Antikörper reagiert spezifisch mit Proben aus Human.
Produktnummer ABIN1101660
639,37 €
Zzgl. Versandkosten 20,00 € und MwSt
50 μg
Lieferung nach: Deutschland
Lieferung in 15 bis 20 Werktagen

Kurzübersicht für XAGE1D Antikörper (AA 58-69) (ABIN1101660)

Target

Alle XAGE1D Antikörper anzeigen
XAGE1D (X Antigen Family, Member 1D (XAGE1D))

Reaktivität

  • 4
  • 1
  • 1
Human

Wirt

  • 2
  • 1
  • 1
Ziege

Klonalität

  • 3
  • 1
Polyklonal

Konjugat

  • 4
Dieser XAGE1D Antikörper ist unkonjugiert

Applikation

  • 3
  • 2
  • 1
  • 1
  • 1
ELISA, Immunohistochemistry (IHC), Immunohistochemistry (Paraffin-embedded Sections) (IHC (p))
  • Bindungsspezifität

    • 2
    • 1
    AA 58-69

    Spezifität

    Human XAGE1D / GAGED2. This antibody is expected to recognise isoform d (NP_597673.1) only. Reported variants represent identical protein (NP_597673.1, NP_001091067.1, NP_001091074.1, NP_001091062.1, NP_001091065.1).

    Homologie

    Percent identity with other species by BLAST analysis: Human (100%).

    Aufreinigung

    Immunoaffinity purified

    Immunogen

    Synthetic peptide C-GFGFRRQGEDNT from the C-terminus of human XAGE1D / GAGED2 (NP_597673.1). Percent identity with other species by BLAST analysis: Human (100%).

    Type of Immunogen: Synthetic peptide
  • Applikationshinweise

    Approved: IHC, IHC-P (3.75 μg/mL), Peptide-ELISA (1:8000)

    Kommentare

    Target Species of Antibody: Human

    Beschränkungen

    Nur für Forschungszwecke einsetzbar
  • Format

    Liquid

    Konzentration

    Lot specific

    Buffer

    Tris-buffered saline,  pH 7.3, 0.5 % BSA, 0.02 % sodium azide

    Konservierungsmittel

    Sodium azide

    Vorsichtsmaßnahmen

    This product contains Sodium azide: a POISONOUS AND HAZARDOUS SUBSTANCE which should be handled by trained staff only.

    Lagerung

    -20 °C

    Informationen zur Lagerung

    Store at -20°C. Avoid freeze-thaw cycles.
  • Target

    XAGE1D (X Antigen Family, Member 1D (XAGE1D))

    Andere Bezeichnung

    XAGE1E

    Hintergrund

    Name/Gene ID: XAGE1E

    Synonyms: XAGE1E, CT12.1D, CTP9, GAGED2, G antigen family D member 2, XAGE1, X antigen family, member 1D, XAGE1D, Cancer/testis antigen 12.1, CT12.1, Protein XAGE-1

    Gen-ID

    653067

    NCBI Accession

    NP_597673
Sie sind hier:
Chat with us!