CEACAM1 Antikörper
Kurzübersicht für CEACAM1 Antikörper (ABIN108725)
Target
Alle CEACAM1 Antikörper anzeigenReaktivität
Wirt
Klonalität
Konjugat
Applikation
Klon
-
-
Spezifität
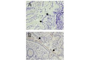
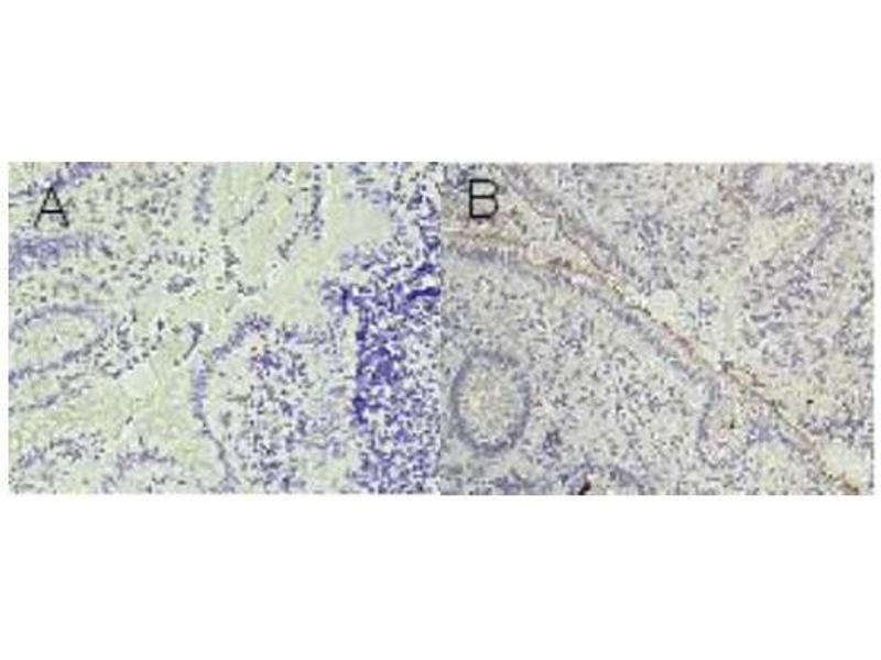
- GM8G5 recognises CEACAM1 transiently expressed on the cell surface of transfected BOSC cells as well as the naturally expressed protein (Fig. 2, kindly provided by Dr. R. Riesenberg, Labor für Tumorimmunologie, Urologische Klinik, Klinikum Grossh
-
Aufreinigung
- Protein G
-
Immunogen
- genetic immunisation with cDNA encoding the extracellular region of human CEACAM1-A2
-
Isotyp
- IgG1
-
-
-
-
Applikationshinweise
-
Flow cytometry: 1.2 µg/10^6 cells
CELISA: 1:200 - 1:400
ELISA: 1:200 - 1:400
Immunohistology: 10 µg/mL (on cryosections)
For each application a titration should be performed to determine the optimal concentration. -
Kommentare
-
Synonyms: CD66a, BGP, biliary glycoprotein I
-
Beschränkungen
- Nur für Forschungszwecke einsetzbar
-
-
-
Buffer
- PBS, pH 7.2
-
Handhabung
- Avoid repeated freezing and thawing.
-
Lagerung
- 4 °C
-
Informationen zur Lagerung
- short term: 2 °C - 8 °C, long term: -20 °C
-
-
- CEACAM1 (Carcinoembryonic Antigen-Related Cell Adhesion Molecule 1 (CEACAM1))
-
Andere Bezeichnung
- CEACAM1
-
Hintergrund
- CEACAM1 (BGP) belongs to the carcinoembryonic antigen (CEA) gene family. CEACAM1 expression is downregulated in many tumors indicating a tumor-suppressive function. GM8G5 was generated by genetic immunisation and can be used to distinguish CEACAM1 from all other CEACAMs.
-
UniProt
- P13688
Target
-