Telefon:
+49 (0)241 95 163 153
Fax:
+49 (0)241 95 163 155
E-Mail:
orders@antikoerper-online.de

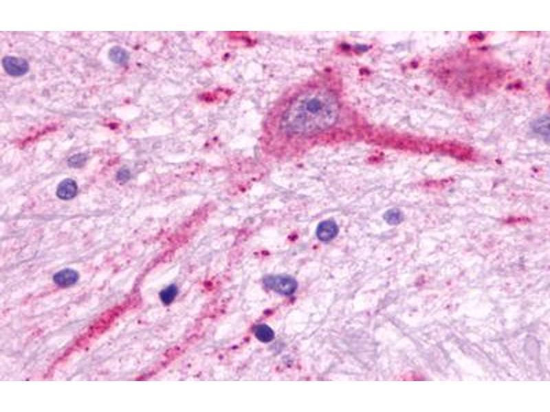
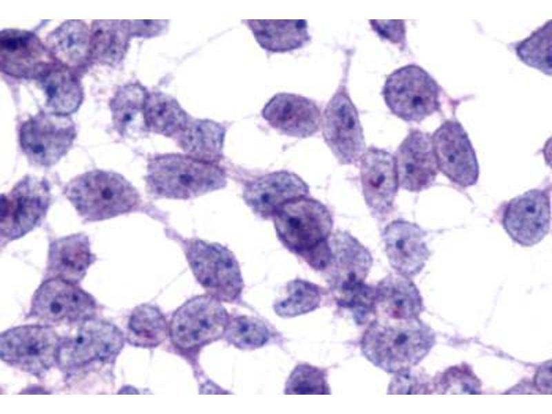
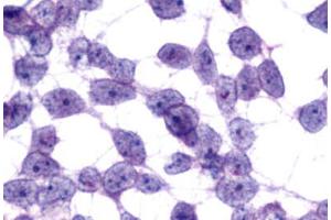
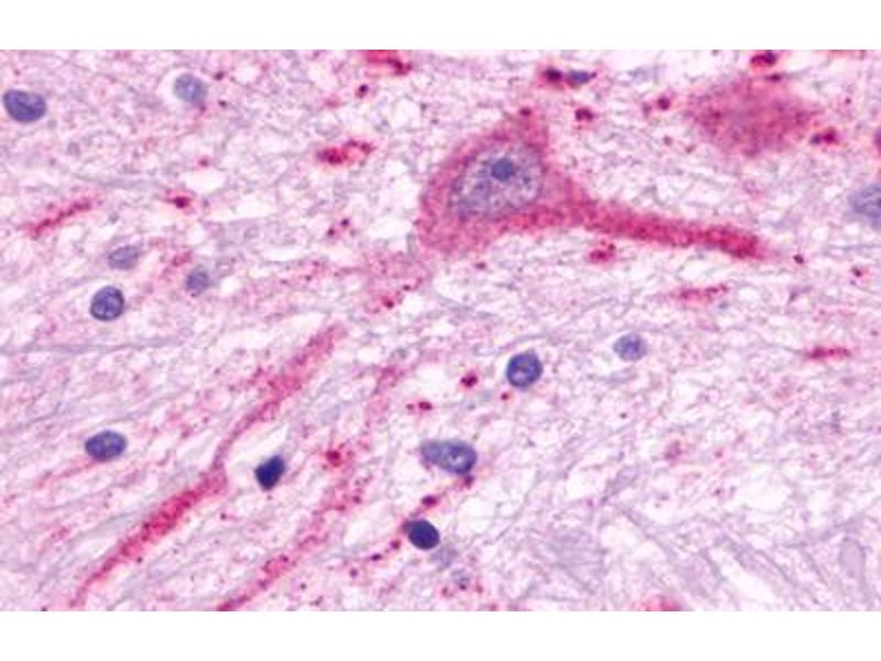
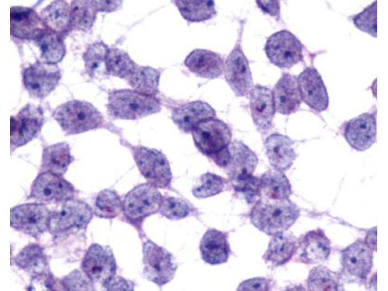
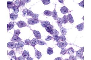
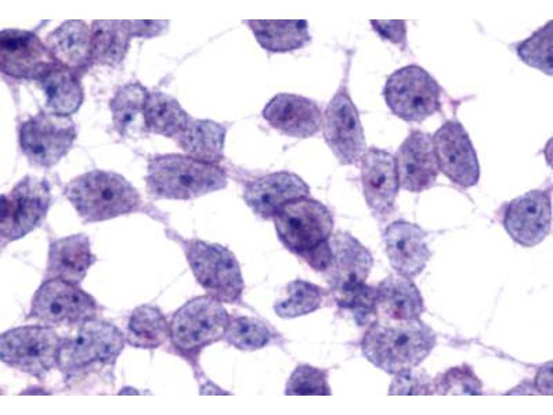
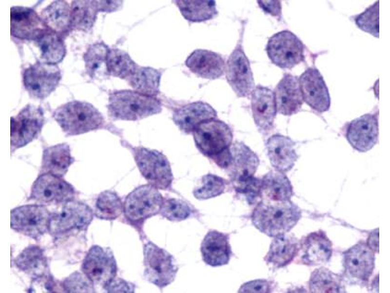
MCHR2 Antikörper (C-Term)

Dieser Kaninchen Polyklonal Antikörper detektiert spezifisch MCHR2 in IHC, IHC (p) und ICC. Es zeigt Reaktivität gegenüber Proben von Human.
Produktnummer ABIN1049056
534,81 €
Zzgl. Versandkosten 20,00 € und MwSt
50 μg
Lieferung nach: Deutschland
Lieferung in 15 bis 20 Werktagen

Kurzübersicht für MCHR2 Antikörper (C-Term) (ABIN1049056)

Target

Alle MCHR2 Antikörper anzeigen
MCHR2 (Melanin-Concentrating Hormone Receptor 2 (MCHR2))

Reaktivität

  • 37
  • 2
  • 2
  • 2
  • 1
Human

Wirt

  • 36
  • 1
Kaninchen

Klonalität

  • 37
Polyklonal

Konjugat

  • 21
  • 4
  • 3
  • 2
  • 1
  • 1
  • 1
  • 1
  • 1
  • 1
  • 1
Dieser MCHR2 Antikörper ist unkonjugiert

Applikation

  • 15
  • 11
  • 6
  • 6
  • 5
  • 3
  • 1
  • 1
Immunohistochemistry (IHC), Immunohistochemistry (Paraffin-embedded Sections) (IHC (p)), Immunocytochemistry (ICC)
  • Bindungsspezifität

    • 10
    • 9
    • 5
    • 3
    • 2
    • 1
    • 1
    • 1
    • 1
    • 1
    • 1
    C-Term

    Spezifität

    Human MCHR2. BLAST analysis of the peptide immunogen showed no homology with other human proteins.

    Homologie

    Percent identity with other species by BLAST analysis: Human (100%) Gorilla (95%) Gibbon (89%) Monkey, Marmoset (84%).

    Aufreinigung

    Immunoaffinity purified

    Immunogen

    Synthetic 19 amino acid peptide from C-terminus of human MCHR2. Percent identity with other species by BLAST analysis: Human (100%), Gorilla (95%), Gibbon (89%), Monkey, Marmoset (84%).

    Type of Immunogen: Synthetic peptide
  • Applikationshinweise

    Approved: ICC (10 - 20 μg/mL), IHC, IHC-P (21 μg/mL)

    Kommentare

    Target Species of Antibody: Human

    Testdurchführung

    The IHC-pro Immunohistochemistry Protocol

    Tissue Preparation
    Formalin fixation and embedding in paraffin wax

    Tissue Sectioning
    Make 4-µm sections and place on pre-cleaned and charged microscope slides.
    Heat in a tissue-drying oven for 45 minutes at 60°C
    Deparaffinization
    Wash slides in 3 changes of xylene – 5 minutes each at room temperature.

    Rehydration
    Wash slides in 3 changes of 100% alcohol – 3 minutes each at room temperature.
    Wash slides in 2 changes of 95% alcohol – 3 minutes each at room temperature.
    Wash slides in 1 change of 80% alcohol – 3 minutes at room temperature.
    Rinse slides in gentle running distilled water – 5 minutes at room temperature.

    Antigen retrieval
    Steam slides in 0.01 M sodium citrate buffer, pH 6.0 at 99-100°C - 20 minutes
    Remove from heat and let stand at room temperature in buffer - 20 minutes
    Rinse in 1X TBS with Tween (TBST) – 1 minute at room temperature.

    Immunostaining
    Do not allow tissues to dry at any time during the staining procedure.
    Apply a universal protein block – 20 minutes at room temperature.
    Drain protein block from slides, apply diluted primary antibody – 45 minutes at room temperature.
    Rinse slides in 1X TBST - 1 minute at room temperature.
    Apply a biotinylated secondary antibody (specific to the host of the primary antibody) - 30 minutes at room temperature.
    Rinse slides 1X TBST – 1 minute at room temperature.
    Apply alkaline phosphatase streptavidin – 30 minutes at room temperature.
    Rinse slides in 1X TBST - 1 minute at room temperature.
    Apply alkaline phosphatase chromogen substrate – 30 minutes at room temperature.
    Wash slides in distilled water – 1 minute at room temperature.

    Dehydrate
    This method should only be used if the chromogen substrate is alcohol insoluble.
    Wash slides in 2 changes of 80% alcohol – 1 minute each at room temperature.
    Wash slides in 2 changes of 95% alcohol – 1 minute each at room temperature.
    Wash slides in 3 changes of 100% alcohol – 1 minute each at room temperature.
    Wash slides in 3 changes of xylene – 1 minute each at room temperature.
    Apply coverslip

    Beschränkungen

    Nur für Forschungszwecke einsetzbar
  • Format

    Liquid

    Konzentration

    Lot specific

    Buffer

    PBS, less than 0.1 % sodium azide.

    Konservierungsmittel

    Sodium azide

    Vorsichtsmaßnahmen

    This product contains Sodium azide: a POISONOUS AND HAZARDOUS SUBSTANCE which should be handled by trained staff only.

    Lagerung

    4 °C,-20 °C

    Informationen zur Lagerung

    Aliquot and store undiluted at -20°C or below for up to 1 year. Can be stored undiluted at 4°C for up to 1 month. Avoid freeze-thaw cycles.

    Haltbarkeit

    12 months
  • Target

    MCHR2 (Melanin-Concentrating Hormone Receptor 2 (MCHR2))

    Andere Bezeichnung

    MCHR2

    Hintergrund

    Name/Gene ID: MCHR2
    Subfamily: Melanin-concentrating hormone receptor
    Family: GPCR

    Synonyms: MCHR2, G protein-coupled receptor slt, GPRv17, GPR145, G protein-coupled receptor 145, G-protein coupled receptor 145, MCH receptor 2, MCHR-2, MCH-2R, MCH-R2, MCH2, Mch2 receptor, SLT receptor, MCH2R, SLT

    Gen-ID

    84539
Sie sind hier:
Chat with us!