Telefon:
+49 (0)241 95 163 153
Fax:
+49 (0)241 95 163 155
E-Mail:
orders@antikoerper-online.de

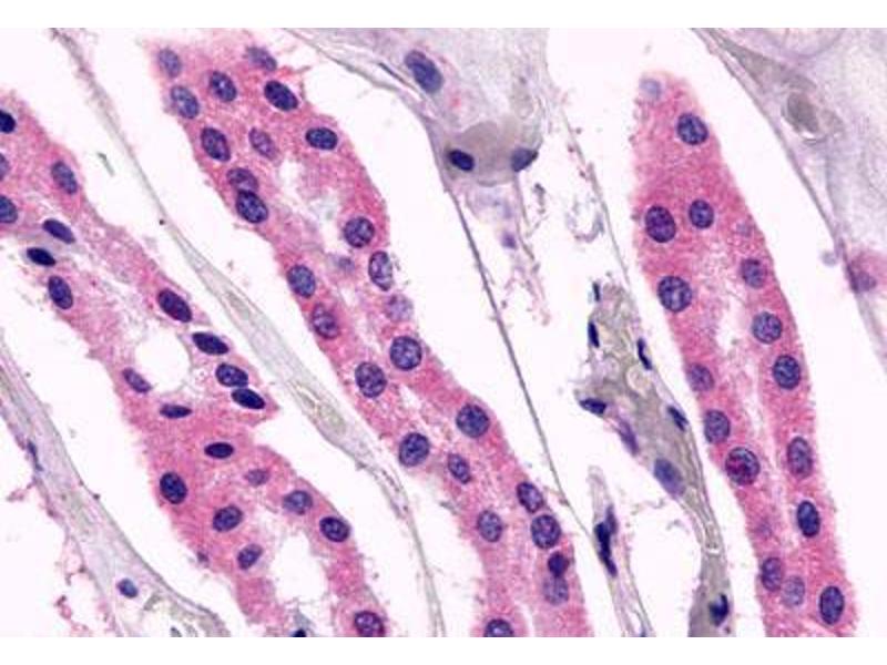
ADGRV1 / GPR98 Antikörper (N-Term)

Der Kaninchen Polyklonal anti-ADGRV1 / GPR98 Antikörper wird verwendet zum Nachweis von ADGRV1 / GPR98 in Proben von Human und Pferd. Er wurde validiert für IHC, IHC (p) und WB.
Produktnummer ABIN1048904
534,81 €
Zzgl. Versandkosten 20,00 € und MwSt
50 μg
Lieferung nach: Deutschland
Lieferung in 15 bis 20 Werktagen

Kurzübersicht für ADGRV1 / GPR98 Antikörper (N-Term) (ABIN1048904)

Target

ADGRV1 / GPR98 (ADGRV1) (G-Protein Coupled Receptor 98 (ADGRV1))

Reaktivität

Human, Pferd

Wirt

  • 2
Kaninchen

Klonalität

  • 2
Polyklonal

Konjugat

  • 2
Dieser ADGRV1 / GPR98 Antikörper ist unkonjugiert

Applikation

Immunohistochemistry (IHC), Immunohistochemistry (Paraffin-embedded Sections) (IHC (p)), Western Blotting (WB)
  • Bindungsspezifität

    N-Term

    Spezifität

    Human GPR98. BLAST analysis of the peptide immunogen showed no homology with other human proteins.

    Homologie

    Percent identity with other species by BLAST analysis: Human, Gorilla, Gibbon, Marmoset, Horse (100%) Monkey, Bat, Elephant (95%) Hamster (89%) Mouse (84%).

    Aufreinigung

    Immunoaffinity purified

    Immunogen

    Synthetic 19 amino acid peptide from N-terminal extracellular domain of human GPR98. Percent identity with other species by BLAST analysis: Human, Gorilla, Gibbon, Marmoset, Horse (100%), Monkey, Bat, Elephant (95%), Hamster (89%), Mouse (84%).

    Type of Immunogen: Synthetic peptide
  • Applikationshinweise

    Approved: IHC, IHC-P (10 - 26 μg/mL), WB

    Kommentare

    Target Species of Antibody: Human

    Testdurchführung

    The IHC-pro Immunohistochemistry Protocol

    Tissue Preparation
    Formalin fixation and embedding in paraffin wax

    Tissue Sectioning
    Make 4-µm sections and place on pre-cleaned and charged microscope slides.
    Heat in a tissue-drying oven for 45 minutes at 60°C
    Deparaffinization
    Wash slides in 3 changes of xylene – 5 minutes each at room temperature.

    Rehydration
    Wash slides in 3 changes of 100% alcohol – 3 minutes each at room temperature.
    Wash slides in 2 changes of 95% alcohol – 3 minutes each at room temperature.
    Wash slides in 1 change of 80% alcohol – 3 minutes at room temperature.
    Rinse slides in gentle running distilled water – 5 minutes at room temperature.

    Antigen retrieval
    Steam slides in 0.01 M sodium citrate buffer, pH 6.0 at 99-100°C - 20 minutes
    Remove from heat and let stand at room temperature in buffer - 20 minutes
    Rinse in 1X TBS with Tween (TBST) – 1 minute at room temperature.

    Immunostaining
    Do not allow tissues to dry at any time during the staining procedure.
    Apply a universal protein block – 20 minutes at room temperature.
    Drain protein block from slides, apply diluted primary antibody – 45 minutes at room temperature.
    Rinse slides in 1X TBST - 1 minute at room temperature.
    Apply a biotinylated secondary antibody (specific to the host of the primary antibody) - 30 minutes at room temperature.
    Rinse slides 1X TBST – 1 minute at room temperature.
    Apply alkaline phosphatase streptavidin – 30 minutes at room temperature.
    Rinse slides in 1X TBST - 1 minute at room temperature.
    Apply alkaline phosphatase chromogen substrate – 30 minutes at room temperature.
    Wash slides in distilled water – 1 minute at room temperature.

    Dehydrate
    This method should only be used if the chromogen substrate is alcohol insoluble.
    Wash slides in 2 changes of 80% alcohol – 1 minute each at room temperature.
    Wash slides in 2 changes of 95% alcohol – 1 minute each at room temperature.
    Wash slides in 3 changes of 100% alcohol – 1 minute each at room temperature.
    Wash slides in 3 changes of xylene – 1 minute each at room temperature.
    Apply coverslip

    Beschränkungen

    Nur für Forschungszwecke einsetzbar
  • Format

    Liquid

    Konzentration

    Lot specific

    Buffer

    PBS, less than 0.1 % sodium azide.

    Konservierungsmittel

    Sodium azide

    Vorsichtsmaßnahmen

    This product contains Sodium azide: a POISONOUS AND HAZARDOUS SUBSTANCE which should be handled by trained staff only.

    Lagerung

    4 °C,-20 °C

    Informationen zur Lagerung

    Aliquot and store undiluted at -20°C or below for up to 1 year. Can be stored undiluted at 4°C for up to 1 month. Avoid freeze-thaw cycles.

    Haltbarkeit

    12 months
  • Target

    ADGRV1 / GPR98 (ADGRV1) (G-Protein Coupled Receptor 98 (ADGRV1))

    Andere Bezeichnung

    ADGRV1 / GPR98

    Hintergrund

    Name/Gene ID: ADGRV1
    Subfamily: Orphan-A
    Family: GPCR

    Synonyms: ADGRV1, FEB4, KIAA0686, G-protein coupled receptor 98, MASS1, VLGR1b, Usher syndrome type-2C protein, USH2B, USH2C, G protein-coupled receptor 98, GPR98, KIAA1943, VLGR1

    Gen-ID

    84059
Sie sind hier:
Chat with us!