Telefon:
+49 (0)241 95 163 153
Fax:
+49 (0)241 95 163 155
E-Mail:
orders@antikoerper-online.de

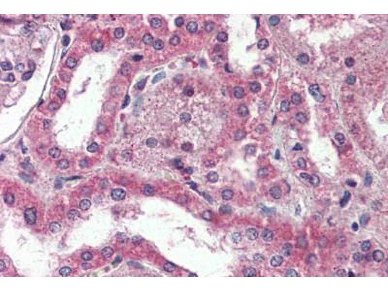
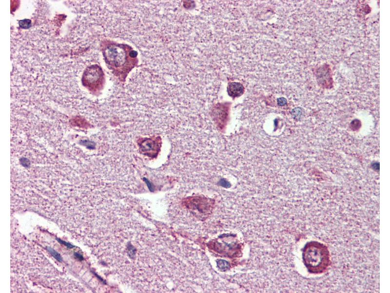
DPP10 Antikörper (Internal Region)

Dieser Kaninchen Polyklonal Antikörper detektiert spezifisch DPP10 in IHC und IHC (p). Es zeigt Reaktivität gegenüber Proben von Human, Pferd, Rind (Kuh), Hund, Affe und Meerschweinchen.
Produktnummer ABIN1048507
534,81 €
Zzgl. Versandkosten 20,00 € und MwSt
50 μg
Lieferung nach: Deutschland
Lieferung in 15 bis 20 Werktagen

Kurzübersicht für DPP10 Antikörper (Internal Region) (ABIN1048507)

Target

Alle DPP10 Antikörper anzeigen
DPP10 (Dipeptidylpeptidase 10 (DPP10))

Reaktivität

  • 38
  • 12
  • 4
  • 3
  • 2
  • 2
  • 2
  • 2
  • 2
  • 1
  • 1
Human, Pferd, Rind (Kuh), Hund, Affe, Meerschweinchen

Wirt

  • 34
  • 3
  • 1
  • 1
Kaninchen

Klonalität

  • 38
  • 1
Polyklonal

Konjugat

  • 19
  • 3
  • 2
  • 2
  • 1
  • 1
  • 1
  • 1
  • 1
  • 1
  • 1
  • 1
  • 1
  • 1
  • 1
  • 1
  • 1
Dieser DPP10 Antikörper ist unkonjugiert

Applikation

  • 36
  • 15
  • 13
  • 13
  • 8
  • 5
  • 3
  • 1
  • 1
  • 1
Immunohistochemistry (IHC), Immunohistochemistry (Paraffin-embedded Sections) (IHC (p))
  • Bindungsspezifität

    • 15
    • 8
    • 4
    • 2
    • 1
    • 1
    • 1
    • 1
    • 1
    • 1
    • 1
    • 1
    Internal Region

    Spezifität

    Human DPP10. BLAST analysis of the peptide immunogen showed no homology with other human proteins.

    Homologie

    Percent identity with other species by BLAST analysis: Human, Chimpanzee, Gorilla, Orangutan, Gibbon, Monkey, Marmoset, Panda, Bovine, Dog, Horse, Guinea pig (100%) Galago, Bat, Rabbit, Pig (94%) Opossum, Turkey, Zebra finch, Chicken, Xenopus (88%) Mouse, Rat, Hamster, Elephant (82%).

    Aufreinigung

    Immunoaffinity purified

    Immunogen

    Synthetic 17 amino acid peptide from internal region of human DPP10. Percent identity with other species by BLAST analysis: Human, Chimpanzee, Gorilla, Orangutan, Gibbon, Monkey, Marmoset, Panda, Bovine, Dog, Horse, Guinea pig (100%), Galago, Bat, Rabbit, Pig (94%), Opossum, Turkey, Zebra finch, Chicken, Xenopus (88%), Mouse, Rat, Hamster, Elephant (82%).

    Type of Immunogen: Synthetic peptide
  • Applikationshinweise

    Approved: IHC, IHC-P (10 μg/mL)

    Usage: Proteinase K is required for antigen retrieval.

    Kommentare

    Target Species of Antibody: Human

    Testdurchführung

    The IHC-pro Immunohistochemistry Protocol

    Tissue Preparation
    Formalin fixation and embedding in paraffin wax

    Tissue Sectioning
    Make 4-µm sections and place on pre-cleaned and charged microscope slides.
    Heat in a tissue-drying oven for 45 minutes at 60°C
    Deparaffinization
    Wash slides in 3 changes of xylene – 5 minutes each at room temperature.

    Rehydration
    Wash slides in 3 changes of 100% alcohol – 3 minutes each at room temperature.
    Wash slides in 2 changes of 95% alcohol – 3 minutes each at room temperature.
    Wash slides in 1 change of 80% alcohol – 3 minutes at room temperature.
    Rinse slides in gentle running distilled water – 5 minutes at room temperature.

    Antigen retrieval
    Steam slides in 0.01 M sodium citrate buffer, pH 6.0 at 99-100°C - 20 minutes
    Remove from heat and let stand at room temperature in buffer - 20 minutes
    Rinse in 1X TBS with Tween (TBST) – 1 minute at room temperature.

    Immunostaining
    Do not allow tissues to dry at any time during the staining procedure.
    Apply a universal protein block – 20 minutes at room temperature.
    Drain protein block from slides, apply diluted primary antibody – 45 minutes at room temperature.
    Rinse slides in 1X TBST - 1 minute at room temperature.
    Apply a biotinylated secondary antibody (specific to the host of the primary antibody) - 30 minutes at room temperature.
    Rinse slides 1X TBST – 1 minute at room temperature.
    Apply alkaline phosphatase streptavidin – 30 minutes at room temperature.
    Rinse slides in 1X TBST - 1 minute at room temperature.
    Apply alkaline phosphatase chromogen substrate – 30 minutes at room temperature.
    Wash slides in distilled water – 1 minute at room temperature.

    Dehydrate
    This method should only be used if the chromogen substrate is alcohol insoluble.
    Wash slides in 2 changes of 80% alcohol – 1 minute each at room temperature.
    Wash slides in 2 changes of 95% alcohol – 1 minute each at room temperature.
    Wash slides in 3 changes of 100% alcohol – 1 minute each at room temperature.
    Wash slides in 3 changes of xylene – 1 minute each at room temperature.
    Apply coverslip

    Beschränkungen

    Nur für Forschungszwecke einsetzbar
  • Format

    Liquid

    Konzentration

    Lot specific

    Buffer

    PBS, less than 0.1 % sodium azide.

    Konservierungsmittel

    Sodium azide

    Vorsichtsmaßnahmen

    This product contains Sodium azide: a POISONOUS AND HAZARDOUS SUBSTANCE which should be handled by trained staff only.

    Lagerung

    4 °C,-20 °C

    Informationen zur Lagerung

    Aliquot and store undiluted at -20°C or below for up to 1 year. Can be stored undiluted at 4°C for up to 1 month. Avoid freeze-thaw cycles.

    Haltbarkeit

    12 months
  • Target

    DPP10 (Dipeptidylpeptidase 10 (DPP10))

    Andere Bezeichnung

    Dipeptidylpeptidase 10 / DPP10

    Hintergrund

    Name/Gene ID: DPP10
    Subfamily: Serine S9B
    Family: Protease

    Synonyms: DPP10, Dipeptidyl peptidase X, Dipeptidyl-peptidase 10, Dipeptidylpeptidase 10, DPL2, DPRP-3, DPRP3, Dipeptidyl peptidase 10, DPPY, KIAA1492, DPP X

    Gen-ID

    57628
Sie sind hier:
Chat with us!