Telefon:
+49 (0)241 95 163 153
Fax:
+49 (0)241 95 163 155
E-Mail:
orders@antikoerper-online.de

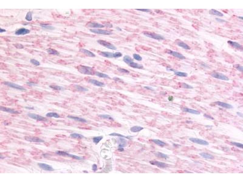
ADRA2C Antikörper (N-Term)

Der Kaninchen Polyklonal anti-ADRA2C Antikörper wird verwendet zum Nachweis von ADRA2C in Proben von Human und Affe. Er wurde validiert für IHC und IHC (p).
Produktnummer ABIN1048313
534,81 €
Zzgl. Versandkosten 20,00 € und MwSt
50 μg
Lieferung nach: Deutschland
Lieferung in 15 bis 20 Werktagen

Kurzübersicht für ADRA2C Antikörper (N-Term) (ABIN1048313)

Target

Alle ADRA2C Antikörper anzeigen
ADRA2C (Adrenergic, alpha-2C-, Receptor (ADRA2C))

Reaktivität

  • 90
  • 47
  • 20
  • 7
  • 4
  • 3
  • 1
Human, Affe

Wirt

  • 56
  • 36
Kaninchen

Klonalität

  • 56
  • 36
Polyklonal

Konjugat

  • 36
  • 5
  • 4
  • 4
  • 4
  • 3
  • 2
  • 2
  • 2
  • 2
  • 2
  • 2
  • 2
  • 2
  • 1
  • 1
  • 1
  • 1
  • 1
  • 1
  • 1
  • 1
  • 1
  • 1
  • 1
  • 1
  • 1
  • 1
  • 1
  • 1
  • 1
  • 1
  • 1
  • 1
Dieser ADRA2C Antikörper ist unkonjugiert

Applikation

  • 54
  • 26
  • 25
  • 19
  • 17
  • 14
  • 13
  • 13
  • 11
  • 10
  • 3
  • 2
Immunohistochemistry (IHC), Immunohistochemistry (Paraffin-embedded Sections) (IHC (p))
  • Bindungsspezifität

    • 34
    • 31
    • 22
    • 16
    • 8
    • 2
    • 2
    • 2
    • 1
    • 1
    • 1
    • 1
    • 1
    • 1
    • 1
    • 1
    • 1
    • 1
    • 1
    N-Term

    Spezifität

    Human ADRA2C. BLAST analysis of the peptide immunogen showed no homology with other human proteins.

    Homologie

    Percent identity with other species by BLAST analysis: Human, Gorilla, Gibbon, Monkey (100%) Dog (89%) Rat, Guinea pig (83%).

    Aufreinigung

    Immunoaffinity purified

    Immunogen

    Synthetic 18 amino acid peptide from N-terminal extracellular domain of human ADRA2C. Percent identity with other species by BLAST analysis: Human, Gorilla, Gibbon, Monkey (100%), Dog (89%), Rat, Guinea pig (83%).

    Type of Immunogen: Synthetic peptide
  • Applikationshinweise

    Approved: IHC, IHC-P (26 μg/mL)

    Kommentare

    Target Species of Antibody: Human

    Testdurchführung

    The IHC-pro Immunohistochemistry Protocol

    Tissue Preparation
    Formalin fixation and embedding in paraffin wax

    Tissue Sectioning
    Make 4-µm sections and place on pre-cleaned and charged microscope slides.
    Heat in a tissue-drying oven for 45 minutes at 60°C
    Deparaffinization
    Wash slides in 3 changes of xylene – 5 minutes each at room temperature.

    Rehydration
    Wash slides in 3 changes of 100% alcohol – 3 minutes each at room temperature.
    Wash slides in 2 changes of 95% alcohol – 3 minutes each at room temperature.
    Wash slides in 1 change of 80% alcohol – 3 minutes at room temperature.
    Rinse slides in gentle running distilled water – 5 minutes at room temperature.

    Antigen retrieval
    Steam slides in 0.01 M sodium citrate buffer, pH 6.0 at 99-100°C - 20 minutes
    Remove from heat and let stand at room temperature in buffer - 20 minutes
    Rinse in 1X TBS with Tween (TBST) – 1 minute at room temperature.

    Immunostaining
    Do not allow tissues to dry at any time during the staining procedure.
    Apply a universal protein block – 20 minutes at room temperature.
    Drain protein block from slides, apply diluted primary antibody – 45 minutes at room temperature.
    Rinse slides in 1X TBST - 1 minute at room temperature.
    Apply a biotinylated secondary antibody (specific to the host of the primary antibody) - 30 minutes at room temperature.
    Rinse slides 1X TBST – 1 minute at room temperature.
    Apply alkaline phosphatase streptavidin – 30 minutes at room temperature.
    Rinse slides in 1X TBST - 1 minute at room temperature.
    Apply alkaline phosphatase chromogen substrate – 30 minutes at room temperature.
    Wash slides in distilled water – 1 minute at room temperature.

    Dehydrate
    This method should only be used if the chromogen substrate is alcohol insoluble.
    Wash slides in 2 changes of 80% alcohol – 1 minute each at room temperature.
    Wash slides in 2 changes of 95% alcohol – 1 minute each at room temperature.
    Wash slides in 3 changes of 100% alcohol – 1 minute each at room temperature.
    Wash slides in 3 changes of xylene – 1 minute each at room temperature.
    Apply coverslip

    Beschränkungen

    Nur für Forschungszwecke einsetzbar
  • Format

    Liquid

    Konzentration

    Lot specific

    Buffer

    PBS, less than 0.1 % sodium azide.

    Konservierungsmittel

    Sodium azide

    Vorsichtsmaßnahmen

    This product contains Sodium azide: a POISONOUS AND HAZARDOUS SUBSTANCE which should be handled by trained staff only.

    Lagerung

    4 °C,-20 °C

    Informationen zur Lagerung

    Aliquot and store undiluted at -20°C or below for up to 1 year. Can be stored undiluted at 4°C for up to 1 month. Avoid freeze-thaw cycles.

    Haltbarkeit

    12 months
  • Target

    ADRA2C (Adrenergic, alpha-2C-, Receptor (ADRA2C))

    Andere Bezeichnung

    ADRA2C

    Hintergrund

    Name/Gene ID: ADRA2C
    Subfamily: Adrenergic
    Family: GPCR

    Synonyms: ADRA2C, ADRA2RL2, ADRARL2, Alpha-2C adrenergic receptor, Alpha-2c-2 adrenergic receptor, ADRA2L2, Adrenoceptor alpha 2C, Alpha-2C-adrenergic receptor, Alpha-2C-AR, Alpha-2CAR, Alpha-2C adrenoceptor, Alpha-2C adrenoreceptor, Alpha2c, ALPHA2CAR, Alpha 2c, Alpha2-AR-C4, Alpha2cii-adrenergic receptor

    Gen-ID

    152

    Pathways

    EGFR Signaling Pathway, cAMP Metabolic Process
Sie sind hier:
Chat with us!