Telefon:
+49 (0)241 95 163 153
Fax:
+49 (0)241 95 163 155
E-Mail:
orders@antikoerper-online.de

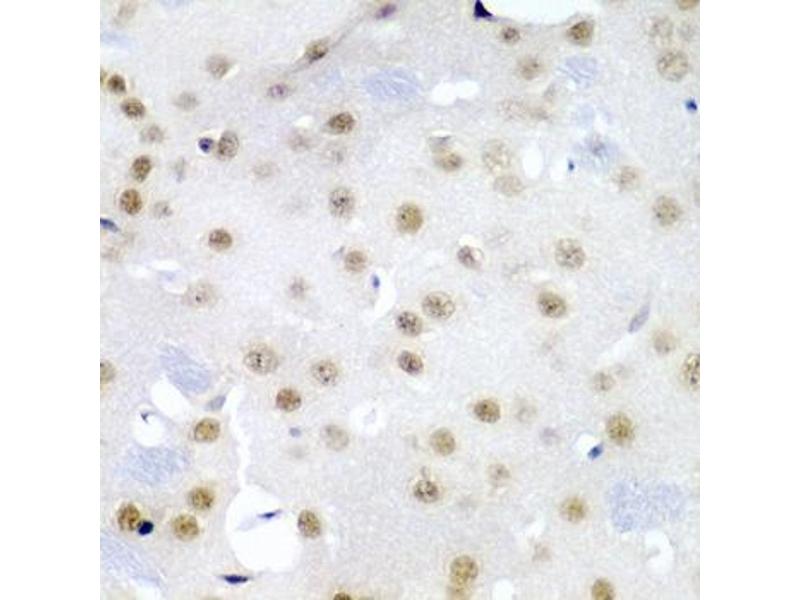
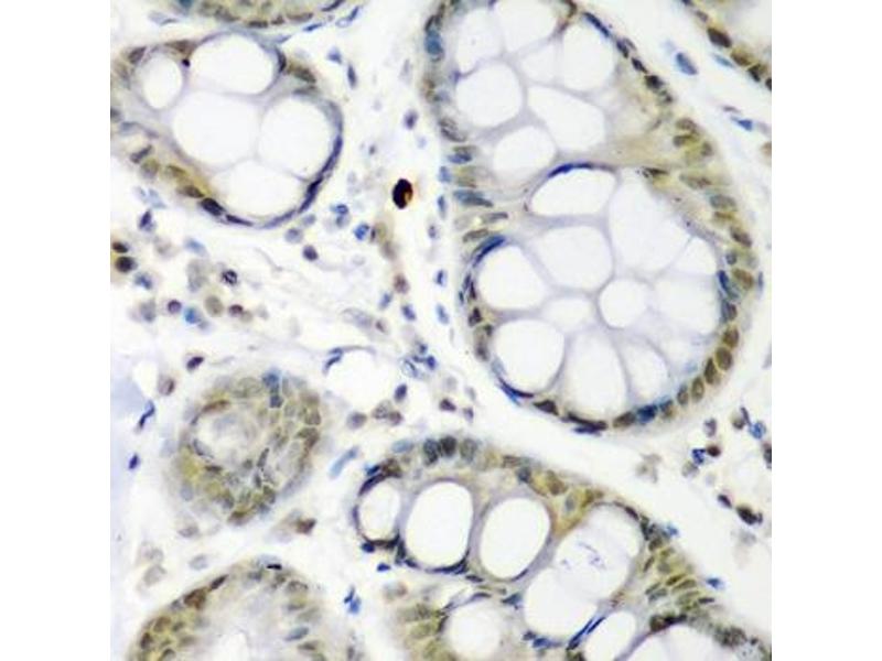
CDC27 Antikörper (AA 551-830)

Dieses Anti-CDC27-Antikörper ist ein Kaninchen Polyklonal-Antikörper zur Detektion von CDC27 in WB, IHC und IF. Geeignet für Human.
Produktnummer ABIN1679113

Kurzübersicht für CDC27 Antikörper (AA 551-830) (ABIN1679113)

Target

Alle CDC27 Antikörper anzeigen
CDC27 (Cell Division Cycle 27 Homolog (S. Cerevisiae) (CDC27))

Reaktivität

  • 73
  • 47
  • 29
  • 8
  • 8
  • 6
  • 5
  • 5
  • 3
  • 2
  • 1
  • 1
  • 1
  • 1
  • 1
  • 1
Human

Wirt

  • 83
  • 6
Kaninchen

Klonalität

  • 74
  • 15
Polyklonal

Konjugat

  • 37
  • 5
  • 4
  • 3
  • 3
  • 3
  • 3
  • 3
  • 3
  • 3
  • 2
  • 2
  • 2
  • 2
  • 2
  • 2
  • 2
  • 2
  • 2
  • 2
  • 2
Dieser CDC27 Antikörper ist unkonjugiert

Applikation

  • 31
  • 27
  • 27
  • 25
  • 13
  • 11
  • 9
  • 7
  • 5
  • 2
  • 2
  • 1
  • 1
  • 1
Western Blotting (WB), Immunohistochemistry (IHC), Immunofluorescence (IF)
  • Bindungsspezifität

    • 16
    • 15
    • 7
    • 5
    • 2
    • 2
    • 2
    • 2
    • 1
    • 1
    • 1
    • 1
    • 1
    • 1
    • 1
    • 1
    • 1
    • 1
    • 1
    • 1
    • 1
    • 1
    • 1
    AA 551-830

    Sequenz

    HLQKDVALSV LSKDLTDMDK NSPEAWCAAG NCFSLQREHD IAIKFFQRAI QVDPNYAYAY TLLGHEFVLT EELDKALACF RNAIRVNPRH YNAWYGLGMI YYKQEKFSLA EMHFQKALDI NPQSSVLLCH IGVVQHALKK SEKALDTLNK AIVIDPKNPL CKFHRASVLF ANEKYKSALQ ELEELKQIVP KESLVYFLIG KVYKKLGQTH LALMNFSWAM DLDPKGANNQ IKEAIDKRYL PDDEEPITQE EQIMGTDESQ ESSMTDADDT QLHAAESDEF

    Kreuzreaktivität

    Human, Maus, Ratte

    Produktmerkmale

    Polyclonal Antibodies

    Aufreinigung

    Affinity purification

    Immunogen

    Recombinant fusion protein containing a sequence corresponding to amino acids 551-830 of human CDC27 (NP_001107563.1).

    Isotyp

    IgG
  • Applikationshinweise

    WB,1:500 - 1:2000,IHC,1:50 - 1:200,IF,1:50 - 1:200

    Beschränkungen

    Nur für Forschungszwecke einsetzbar
  • Buffer

    PBS with 0.02 % sodium azide,50 % glycerol, pH 7.3.

    Konservierungsmittel

    Sodium azide

    Vorsichtsmaßnahmen

    This product contains Sodium azide: a POISONOUS AND HAZARDOUS SUBSTANCE which should be handled by trained staff only.

    Lagerung

    -20 °C

    Informationen zur Lagerung

    Store at -20°C. Avoid freeze / thaw cycles.
  • Target

    CDC27 (Cell Division Cycle 27 Homolog (S. Cerevisiae) (CDC27))

    Andere Bezeichnung

    CDC27

    Hintergrund

    The protein encoded by this gene shares strong similarity with Saccharomyces cerevisiae protein Cdc27, and the gene product of Schizosaccharomyces pombe nuc 2. This protein is a component of the anaphase-promoting complex (APC), which is composed of eight protein subunits and is highly conserved in eukaryotic cells. This complex catalyzes the formation of cyclin B-ubiquitin conjugate, which is responsible for the ubiquitin-mediated proteolysis of B-type cyclins. The protein encoded by this gene and three other members of the APC complex contain tetratricopeptide (TPR) repeats, which are important for protein-protein interactions. This protein was shown to interact with mitotic checkpoint proteins including Mad2, p55CDC and BUBR1, and it may thus be involved in controlling the timing of mitosis. Alternative splicing of this gene results in multiple transcript variants. Related pseudogenes have been identified on chromosomes 2, 22 and Y.,CDC27,ANAPC3,APC3,CDC27Hs,D0S1430E,D17S978E,H-NUC,HNUC,NUC2,Cell Biology & Developmental Biology,Cell Cycle,Ubiquitin,Ubiquitin-Proteasome Signaling Pathway,CDC27

    Molekulargewicht

    91 kDa/92 kDa

    Gen-ID

    996

    UniProt

    P30260
Sie sind hier:
Chat with us!